Cabinet d'Orthodontie du Dr LAHLOU NABIL
Chirurgien-Dentiste pratiquant l'orthodontie exclusive à Saint-Ouen-l'Aumône

11 avenue du Géneral de Gaulle
95310 Saint-Ouen-l'Aumône

Cabinet d'Orthodontie du Dr LAHLOU NABIL
Chirurgien-Dentiste pratiquant l'orthodontie exclusive à Saint-Ouen-l'Aumône

Blog

Expansion palatine - activation du disjoncteur

Expansion palatine - activation du disjoncteur

Extraction en orthodontie et réhabilitation par implant

Extraction en orthodontie et réhabilitation par implant

La pose de vernis fluoré pour les enfants et les jeunes adultes de 3 à 24 ans

La pose de vernis fluoré pour les enfants et les jeunes adultes de 3 à 24 ans

Le fluor, par voie générale ou en application locale, joue un rôle essentiel dans la protection des dents de l’enfant.

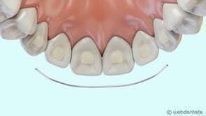
Fil de contention

Fil de contention

Traitement multi-attaches

Traitement multi-attaches

Conseils pratiques pour une bonne hygiène bucco-dentaire avec un appareil

Conseils pratiques pour une bonne hygiène bucco-dentaire avec un appareil

Affichage des articles 1-6 sur 82

Création par Webdentiste

Connexion