Cabinet d'Orthodontie du Dr LAHLOU NABIL
Chirurgien-Dentiste pratiquant l'orthodontie exclusive à Saint-Ouen-l'Aumône
ACCUEIL
CABINET
ACCÈS
URGENCES
FICHES CONSEILS
VIDÉOS
QUESTIONNAIRE MÉDICAL
QUESTIONNAIRE PRÉ-RDV
PRENDRE RDV
11 avenue du Géneral de Gaulle
95310
Saint-Ouen-l'Aumône
+33 1 61 03 10 91
Cabinet d'Orthodontie du Dr LAHLOU NABIL
Chirurgien-Dentiste pratiquant l'orthodontie exclusive à Saint-Ouen-l'Aumône
ACCUEIL
CABINET
ACCÈS
URGENCES
FICHES CONSEILS
VIDÉOS
QUESTIONNAIRE MÉDICAL
QUESTIONNAIRE PRÉ-RDV
PRENDRE RDV
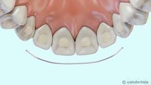
Fil de contention
Vidéos 3D
Articles similaires
Contention de Hawley
Vidéos 3D
Expansion palatine - activation du disjoncteur
Vidéos 3D
Extraction en orthodontie et réhabilitation par implant
Vidéos 3D
Traitement multi-attaches
Vidéos 3D
Partager
Twitter
Partager
Partager
Envoyer
Copier
Cabinet d'Orthodontie du Dr LAHLOU NABIL
11 avenue du Géneral de Gaulle
95310
Saint-Ouen-l'Aumône
+33 1 61 03 10 91
Liens
Conditions Générales Utilisation
Mentions légales
Politique de confidentialité et charte cookie
Charte déontologique
Ordre national
Annuaires chirurgiens dentistes
Coordonées
Rechercher
Création par
Connexion